Ankaufsuntersuchung

Sicherheit beim Pferdekauf

Die tierärztliche Ankaufsuntersuchung – häufig auch als „TÜV“ bezeichnet – ist ein bewährtes Instrument zur objektiven Beurteilung des Gesundheitszustands eines Pferdes vor dem Kauf oder Verkauf. Sowohl Käufer als auch Verkäufer greifen auf diese Form der unabhängigen Bewertung zurück, um mögliche Risiken frühzeitig zu erkennen.

Der Umfang der Untersuchung kann individuell angepasst werden – von der reinen klinischen Untersuchung bis hin zur erweiterten Bildgebung.


Mögliche Bestandteile der Ankaufsuntersuchung

Je nach Wunsch des Auftraggebers und klinischem Befund führen wir folgende Untersuchungen durch:

  • Klinische Untersuchung in Ruhe und unter Belastung (inkl. Beugeproben, Adspektion, Palpation, Gangbildanalyse)

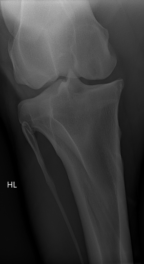
  • Röntgenuntersuchung (nach aktuellem Röntgenleitfaden 2018 der Bundestierärztekammer / GPM)

  • Ultraschalluntersuchung bei Bedarf (z. B. Sehnen, Bänder, Gelenke)

  • Endoskopie der oberen Atemwege

  • Blutprobenentnahme (zur Untersuchung auf Dopingmittel oder zur Lagerung für bis zu 6 Monate)

 

Welche Module sinnvoll und notwendig sind, besprechen wir im Vorfeld gerne individuell mit Ihnen.



Standardröntgenumfang gemäß Leitfaden (GPM 2018)

Die Standardaufnahmen gemäß Röntgenleitfaden beinhalten insgesamt 18 Bilder:

  • Vordergliedmaße:
    • 2 × Oxspring-Aufnahme (Strahlbeine/Hufrolle)
    • 2 × Huf seitlich (90°)
    • 2 × Zehe seitlich (Fesselgelenk, 90°)
  • Hintergliedmaße:
    • 2 × Zehe seitlich (Fesselgelenk, 90°)
    • 6 × Tarsus-Aufnahmen (Sprunggelenk, 3 Ebenen beidseits)
    • 4 × Kniegelenk (2 Ebenen beidseits)

Diese Standardprojektionen können auf Wunsch reduziert oder erweitert werden. Häufig ergänzend angefertigte Aufnahmen sind zum Beispiel:

 

  • Rückenaufnahmen (Dornfortsätze, Lendenwirbelsäule)

  • Halswirbelsäule (Genick bis C7/Th1)

  • Tangentialaufnahmen der Hufrolle („Skyline“)

  • Schrägaufnahmen von Huf-, Fessel- oder Karpalgelenken

  • Darstellung von Schulter, Ellenbogen, etc.



Bewertung der Röntgenbilder

Seit der Überarbeitung des Röntgenleitfadens wird auf die frühere Einteilung in sieben Röntgenklassen verzichtet. Stattdessen erfolgt eine individuelle Befundbeschreibung mit folgender Kategorisierung:

  • unauffällige Befunde („o.b.B.“)

  • Befunde mit unklarer klinischer Relevanz

  • Befunde mit möglichem Lahmheitsrisiko („Risiko“)

 

Die röntgenologische Beurteilung fließt gemeinsam mit den klinischen Untersuchungsergebnissen in eine tierärztliche Gesamteinschätzung ein.



Unser Ansatz

Wir führen jede Ankaufsuntersuchung mit höchster Sorgfalt und Neutralität durch. Ziel ist es, sowohl Käufer als auch Verkäufer bestmöglich zu beraten und auf Grundlage objektiver Daten fundierte Entscheidungen zu ermöglichen. Weiterführende Untersuchungen, die sich aus der klinischen Untersuchung ergeben, können direkt vor Ort nach Rücksprache ergänzt werden.


FAQs

Inhalte von Powr.io werden aufgrund deiner aktuellen Cookie-Einstellungen nicht angezeigt. Klicke auf die Cookie-Richtlinie (Funktionell und Marketing), um den Cookie-Richtlinien von Powr.io zuzustimmen und den Inhalt anzusehen. Mehr dazu erfährst du in der Powr.io-Datenschutzerklärung.