Rückenbehandlungen

Rückenerkrankungen

Rückenerkrankungen sind eine häufige Ursache für Rittigkeitsprobleme, Leistungsabfall oder Verhaltensauffälligkeiten. Sie können durch knöcherne Veränderungen, muskuläre Verspannungen oder Fehlbelastungen entstehen und können sich in verschiedensten Symptomen manifestieren.


Häufige Ursachen

  • Facettengelenkarthrosen
  • Kissing Spines
  • muskuläre Verspannungen
  • Blockaden im Wirbelsäulenbereich
  • Schmerzen im Bereich des Kreuz-Darmbein-Gelenks (ISG)

Diagnostik

  • Klinische Untersuchung (Palpation, Bewegungsanalyse, Beurteilung unter dem Reiter)
  • Röntgen zur Darstellung von Wirbelkörpern und den Dornfortsätzen
  • Ultraschall für Weichteilstrukturen und Darstellung der Facettengelenke
  • KI-gestützte Ganganalyse (SLEIP) zur objektiven Beurteilung von Bewegungsabläufen


Therapieoptionen


Klassisch-schulmedizinische Verfahren

  • Lokale intramuskuläre Infiltrationen
    Bei sehr schmerzhaften Veränderungen im Rückenbereich (z.B. Kissing Spines) kann es nötig sein, mit entzündungshemmenden und muskelentspannenden Medikamenten lokal direkt zwischen die Dornfortsätze und in die entzündete Rückenmuskulatur zu spritzen. Die verwendeten Medikamente werden individuell an den Patienten und den entsprechenden Befund abgepasst. Ziel ist dabei immer dem Pferd eine schnelle Schmerzlinderung zu verschaffen, um auch anschliessend mit gezieltem Muskelaufbautraining beginnen zu können.
  • Ultraschallgeführte Injektionen
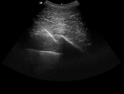
    Bei speziellen Befunden wie z.B. Facettengelenk-arthrosen im Brust-/Lendenwirbelsäulenbereich besteht die Möglichkeit, eine gezielte periartikuläre Injektion (mit z.B. Cortison / IRAP etc.) vorzunehmen. Die Ultraschallkontrolle unterstützt dabei eine sichere Applikation der Medikamente. Diese Technik wird auch bei anderen intraartikulären Injektionen im Oberlinienbereich zu Hilfe genommen, wie z.B. bei Facettengelenken der Halswirbelsäule oder beim Iliosakralgelenk (ISG).

Röntgenbild eines Pferdes mit Kissing Spines


Ultraschallgeführte ISG-Injektion



Mesotherapie

Bei der Mesotherapie ist eine minimalinvasive Methode und verbindet die klassische Arzneimitteltherapie mit der Neuraltherapie und der Akupunktur. Dabei werden individuell zusammengestellte Medikamente in sehr kleinen Mengen mittels feiner Mikroinjektionen direkt in die Haut (Mesoderm) im betroffenen Rücken- oder Halsbereich eingebracht. Diese Methode wirkt schmerzlindernd, durchblutungsfördernd und entzündungshemmend – mit meist sehr guter Verträglichkeit.



Chiropraktik

Blockaden oder Fehlstellungen im Wirbelsäulenbereich können zu deutlichen Bewegungseinschränkungen führen. Durch chiropraktische Techniken lassen sich solche Störungen gezielt beheben. Die Behandlung unterstützt die physiologische Beweglichkeit, fördert die Leistungsfähigkeit und kann auch präventiv sinnvoll sein. Mehr erfahren Sie hier.



Stoßwellentherapie (ESWT)

Die extrakorporale Stoßwellentherapie hat sich in den letzten Jahren auch bei Rückenproblemen bewährt. Sie wirkt schmerzlindernd, regt den Stoffwechsel an und fördert die Heilung von Muskeln, Sehnen und Bändern. Besonders bei chronischen Beschwerden zeigt sich häufig ein positiver Langzeiteffekt.



Ganzheitlicher Ansatz

Neben den gezielten medizinischen Therapien ist uns auch das Gesamtmanagement des Pferdes wichtig. Dazu gehört die Kontrolle von Sattel und Ausrüstung ebenso wie eine individuelle Anpassung des Trainingsplans. Auch weitere orthopädische Erkrankungen müssen im Einzelfall berücksichtigt werden. Bei Bedarf arbeiten wir eng mit Physiotherapeuten und anderen Fachkollegen zusammen, um für jedes Pferd die bestmögliche Unterstützung zu gewährleisten.